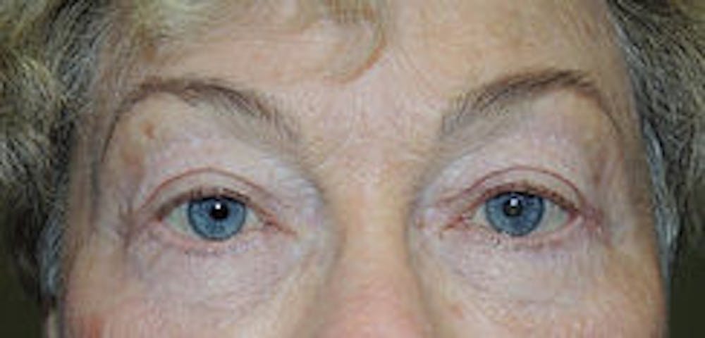
One of the topics discussed at the Spring American Society of Ophthalmic Plastic and Reconstructive Surgery meeting was concerns regarding Medicare coverage for functional eyelid surgery. Ptosis is a drooping eyelid due to a weak muscle within the eyelid and dermatochalasis is extra skin that hangs over the eyelid. These are two different eyelid issues. If any of these conditions are significantly affecting one’s peripheral vision, Medicare or private insurances may cover these procedures. Visual field testing AND clinical photographs are used in this determination. Patients often ask if lower eyelid surgery is covered by insurance. Lower eyelid surgery to remove the puffiness or the bags under the eyes are never covered under insurance. Patients often ask to combine their functional ptosis or upper eyelid blepharoplasty with cosmetic lower eyelid blepharoplasty.
Upper and lower eyelid blepharoplasty by Srinivas S. Iyengar, MD FACS
We often have patients with Sharp-Reese Stealy or Kaiser Permanente insurance who choose to have their eyelid surgery with us. While we are out of network for these HMO insurances, we do our very best to provide high quality service and experience with reasonable fees.



